previous / next
return to index

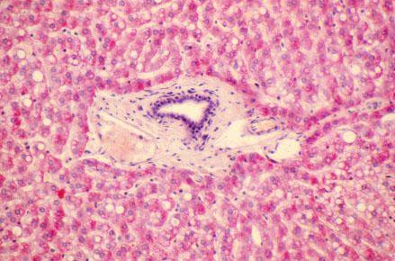
VIII-31, Slide 65, Liver (H&E plus stain for glycogen). Glycogen stored in hepatocytes stains a rose color. Also note the portal triad with bile duct, portal vein, hepatic arteriole and lymphatic vessels.