previous / next
return to index

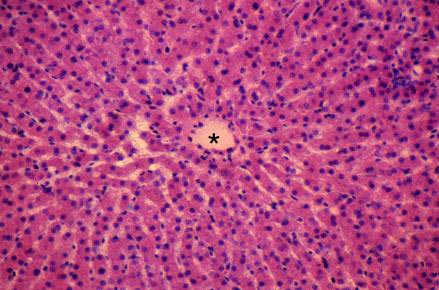
VIII-29, Slide 64, Liver (H&E). Hepatocytes are arranged in cords or plates. Sinusoids are capillaries separating plates of hepatocytes. The blood in sinusoids drains into a central vein (*).