previous / next
return to index

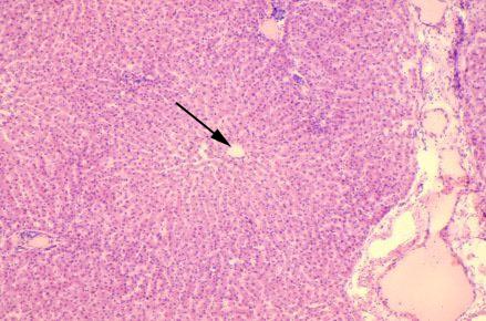
VIII-28, Slide 64, Liver (H&E). Note the central vein (arrow) in the liver lobule.