previous / next
return to index

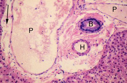
VIII-27, Slide 64, Liver (H&E). Closer view of portal triad showing portal vein (P), hepatic arteriole (H), bile duct (B), and lymphatic vessel (arrow).