previous / next
return to index

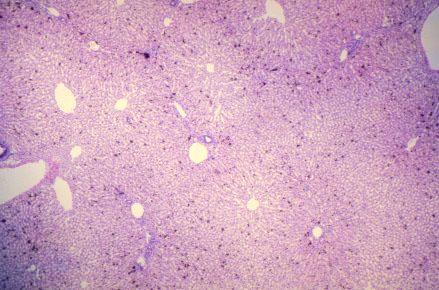
VIII-32, Slide 66, Liver (H&E, carbon injected). Note the lobular architecture of the liver