previous / next
return to index

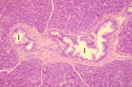
VIII-24, Slide 68, Pancreas (H&E). Large interlobular ducts (I) are present in a connective tissue septum.