previous / next
return to index

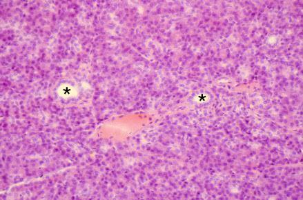
VIII-23, Slide 68, Pancreas (H&E). Serous pancreatic acinar cells and intralobular ducts (*) are present. The pancreas does not contain striated ducts.