previous / next
return to index

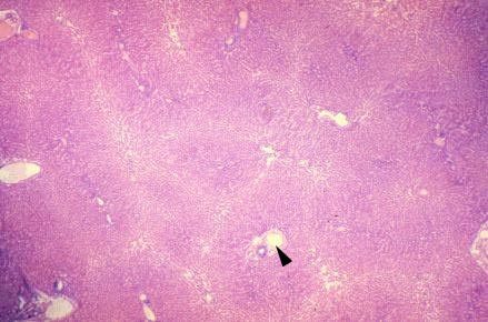
VIII-25, Slide 64, Liver (H&E). This is a low power view of the liver showing lobules and portal triads (arrowhead).