previous / next
return to index

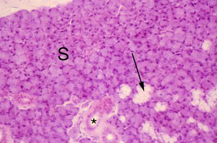
VIII-18, Slide 51, Submandibular Gland (H&E). Serous cells (S), mucous cells (arrow), and striated ducts (*) are present in this image.