previous / next
return to index

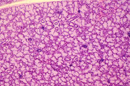
VIII-19, Slide 52, Sublingual Gland (H&E). The sublingual gland is a mixed gland, with clear-staining mucous cells predominating. The ducts scattered throughout the section are intralobular ducts. Intercalated and striated ducts are not present in the sublingual gland.