previous / next
return to index

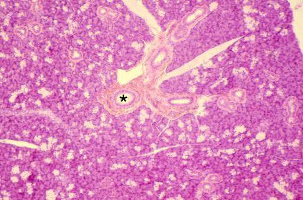
VIII-17, Slide 51, Submandibular Gland (H&E). The submandibular gland is a mixed gland, with basophilic serous acini more numerous than clear-staining mucous tubules. Note the interlobular duct (*).