previous / next
return to index

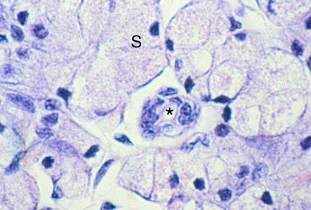
VIII-16, Demonstration slide, Parotid Gland (H&E). Note the serous secretory cells (S) and intercalated duct (*). All the secretory cells in the parotid gland are serous.