previous / next
return to index

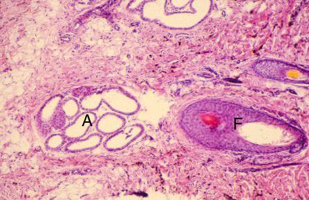
VIII-12, Slide 63, Rectoanal Junction (H&E). Hair follicles (F) and apocrine sweat glands (A) are surrounded by connective tissue in the anal canal.