previous / next
return to index

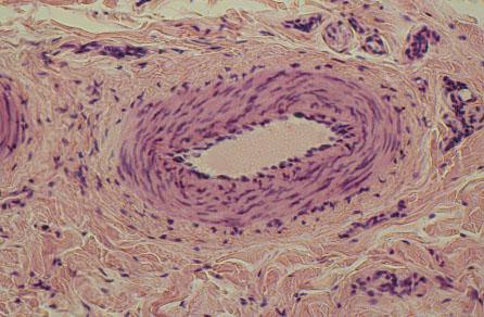
VI-30 (5) Slide 42, Lip (H&E). A muscular artery is shown with tunica intima (endothelial cells) tunica media of smooth muscle layers, and thin adventitia