image/vi-29m.jpg, 28.9K

previous / next
return to index

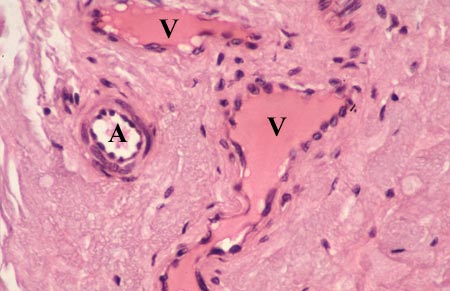
VI-29M An arteriole (A) and venules (V).