previous / next
return to index

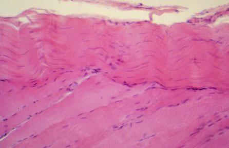
V-63 (4) Slide 15, Muscle-Tendon Junction (H&E). Muscle (bottom) is striated with euchromatic, elongated nuclei. Fibrocyte nuclei (top) of tendon are thin and slender, and heterochromatic; note the tendon consists of dense regularly arranged connective tissue (collagen, type I) which is extracellularly located.