previous / next
return to index

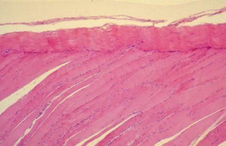
V-62 (4) Slide 15, Muscle-Tendon Junction (H&E). Muscle cells (bottom) have euchromatic and elongated nuclei. Fibrocyte nuclei of tendon (top) are thin and slender, and heterochromatic.