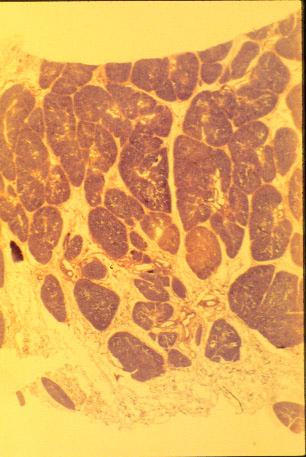
K-slide 55: Note the many lobules which make up this gland.


previous / next
return to index