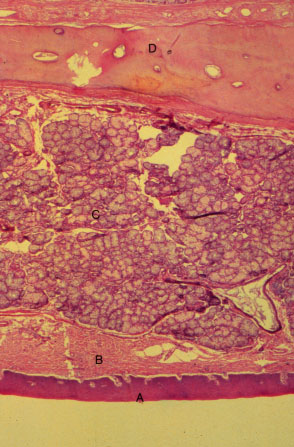
K-slide 35: Same magnification as slide 34
A. Masticatory epithelium of hard palate
B. Lamina propria
C. Mucous palatine glands within submucosa of hard palate
D. Bone


previous / next
return to index