 |
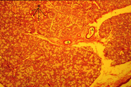
- K-slide 64: Higher magnification of slide 63
- A. Interlobular ducts
- B. Intralobular ducts. These ducts are not designated striated and
intercalated as is the case in the parotid and submandibular glands because
these ducts do not change the constituency of the saliva, they merely transport.
|