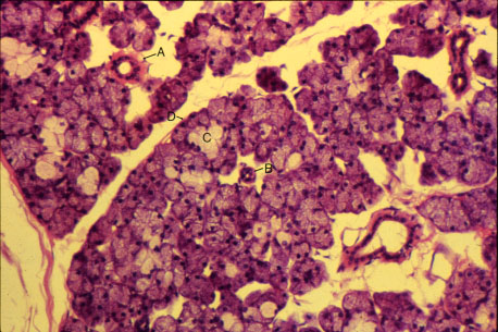
K-slide 62: Still higher magnification of slide 60
A. Striated duct
B. Intercalated duct
C. Mucous tubule
D. Serous demilune
Note that most secretory units are serous acini.


previous / next
return to index