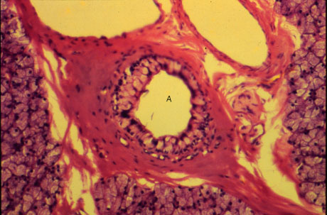
K-slide 59:
A. Interlobular duct. Note that most of the cells making up its wall are goblet cells.


previous / next
return to index