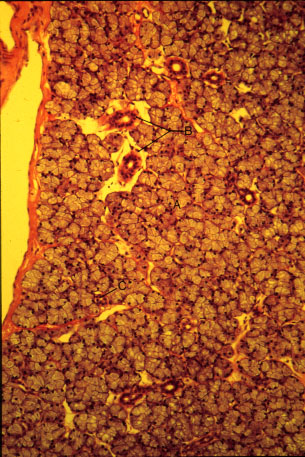
K-slide 56: Higher magnification of slide 55
A. Serous acini
B. Striated duct
C. Intercalated duct


previous / next
return to index