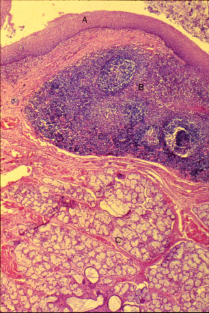
K-slide 54: Still higher magnification of slide 52
A. Stratified squamous epithelium
B. Lymphatic tissue (diffuse and nodular)
C. Mucous tonsillar glands


previous / next
return to index