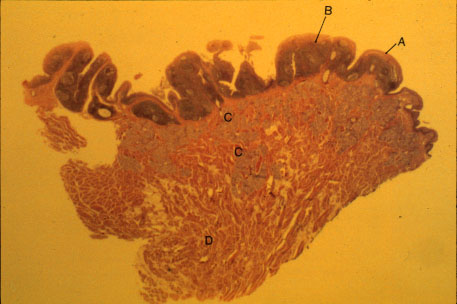
K-slide 52:
A. Stratified squamous epithelium
B. Lymphatic tissue (diffuse and nodular)
C. Mucous tonsillar glands
D. Tongue musculature


previous / next
return to index