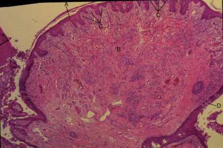
K-slide 48: Higher magnification of circumvallate papilla
A. Keratinized stratified squamous epithelium
B. [Primary connective tissue papilla]
C. [Secondary connective tissue papilla]
D. Taste bud


previous / next
return to index