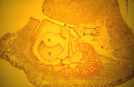
K-slide 45: Slightly higher magnification of slide 44
A. Plica sublingualis
B. Sublingual salivary gland
C. Wharton's duct
D. Enamel organ
E. Dental papilla
F. Dental follicle


previous / next
return to index