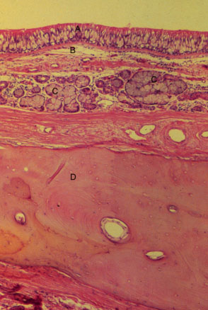
K-slide 34: Still higher magnification of slide 32
A. Respiratory epithelium of nasal cavity
B. Lamina propria
C. Seromucous glands within submucosa of nasal cavity
D. Bone


previous / next
return to index