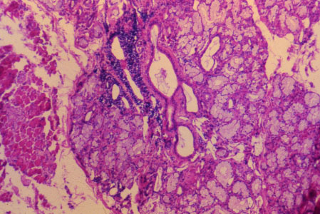
K-slide 27: Still higher magnification of slide 25
Buccal salivary glands are classified as seromucous, as shown here.


previous / next
return to index