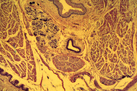
K-slide 11: This is a higher magnification of slide 10, showing the sublingual gland, Wharton's duct and the lingual nerve.


previous / next
return to index