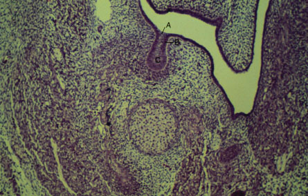
K-slide 3: Still higher magnification
A. Dental lamina
B. Deciduous dental lamina
C. Enamel organ in bud stage
Note also the dental papilla, palatine process and Meckel's cartilag


previous / next
return to index