image/ix-28c.jpg, 22.1K

previous / next
return to index

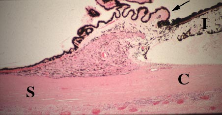
IX-28C Sclera (S), cornea (C), iris (I) and ciliary processes (arrow) are seen.