image/ix-07d.jpg, 23.6K

previous / next
return to index

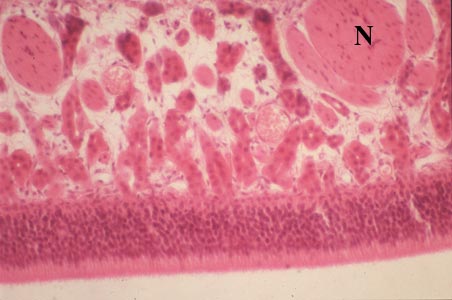
IX-7D Olfactory epithelium with underlying glands. Note the rich nerve supply (N).