previous / next
return to index

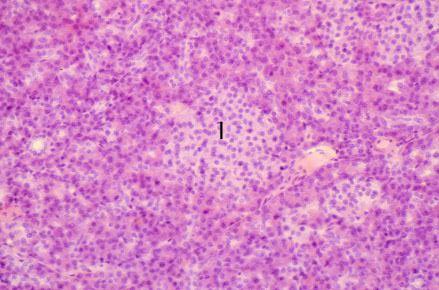
VIII-22, Slide 68, Pancreas (H&E). Note the islet of Langerhans (I) surrounded by basophilic serous acinar cells.