previous / next
return to index

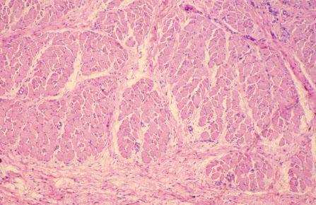
VIII-11, Slide 63, Rectoanal Junction (H&E). This is a cross-section of skeletal muscle of the external anal sphincter. Loose connective tissue is present at the bottom of the image.