previous / next
return to index

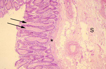
VIII-3, Slide 61, Colon (H&E). Crypts of Lieberkuhn (arrows), muscularis mucosae (*) and submucosa (S) are seen.