previous / next
return to index

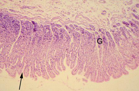
VII-45, Slide 55, Cardioesophageal junction (H&E). The cardiac region of the stomach demonstrates gastric pits (arrow) and gastric glands (G).