previous / next
return to index

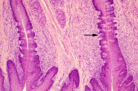
VII-34, Slide 49, Tongue, Foliate papillae from monkey (H&E). Note the taste buds (arrow) within the stratified squamous epithelium.