previous / next
return to index

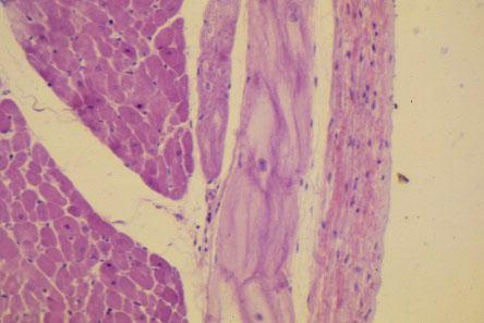
VI-6 (5) Slide 32, Heart - Purkinje Fibers (H&E). Medium power view of endocardium with Purkinje fibers (large pale cells) and myocardium. Note that the sarcoplasm appears more clear than that seen in cardiac myocytes.