previous / next
return to index

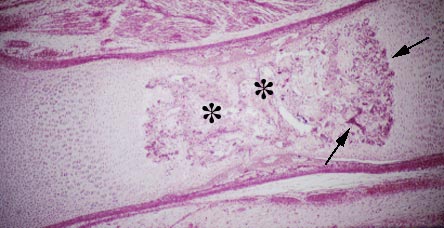
IV-31A Endochondral ossification. Cartilage erosion (*) is seen in shaft of bone along with bone deposition (arrows). Cartilagenous epiphyses are seen at both ends of this long bone.