previous / next
return to index

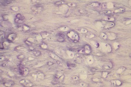
IV-17 (5) Slide 6, Elastic Cartilage (Elastin stain). Observe chondrocytes in lacunae surrounded by territorial matrix (basophilic ring) and elastic fibers.