previous / next
return to index

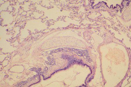
IV-13 (4) Slide 75, Lung (H&E). Medium power view of the cartilage plate.