previous / next
return to index

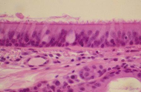
II-45 (5) Slide 73, Trachea (H&E). Examine aspects of the respiratory epithelium: cilia, basal body (dark line at cell apex), goblet cells, pseudostratified columnar cells and basement membrane.