previous / next
return to index

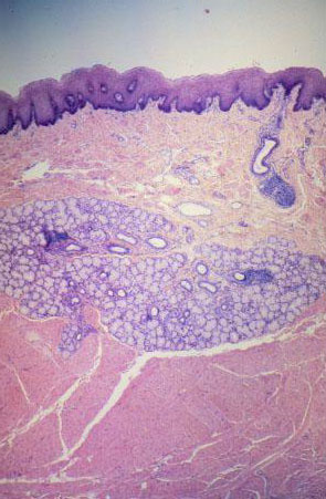
II-27 (4) Slide 42, Lip (H&E). Vestibular surface (top) is lined by stratified squamous nonkeratinizing epithelium.