previous / next
return to index

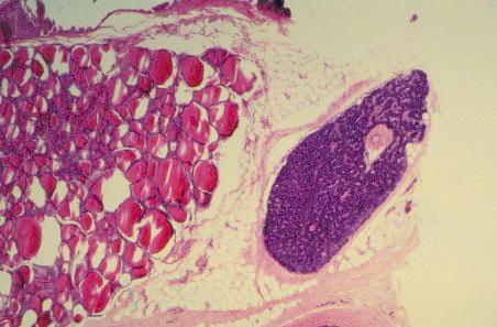
X-62 (4) Slide 92, Thyroid and Parathyroid Gland (H&E). Low power view of thyroid (left) and parathyroid (right) glands.