previous / next
return to index

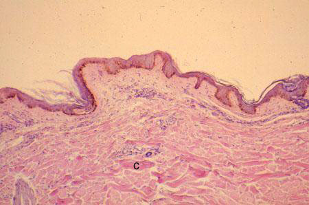
IX-62 (5) Slide 76, Thin Skin, Negro (H&E). Low power view. Note melanin granules (brown color) in strata basale and spinosum; collagen fibers (c) in the reticular layer of dermis.