previous / next
return to index

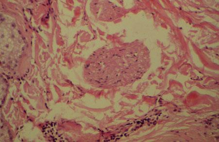
IX-57 (2) Slide 77, Scalp - Skin (H&E). High power view of a nerve bundle.