previous / next
return to index

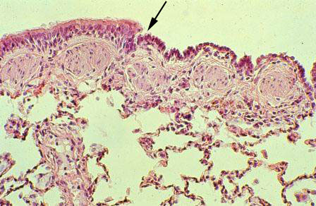
IX-19 Lung (H&E). Regular bronchiole with pseudostratified columnar epithelium (left of arrow) and terminal bronchiole with simple cuboidal epithelium (right of arrow). Smooth muscle is seen in submucosa. Also seen are alveolar sacs and alveoli.