image/ix-10a.jpg, 29.3K

previous / next
return to index

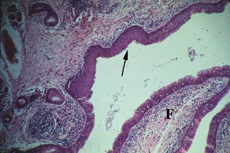
IX-10A Larynx. True vocal fold (arrow) is lined with stratified epithelium; the false vocal fold (F) is lined with respiratory (pseudostratified) epithelium.