previous / next
return to index

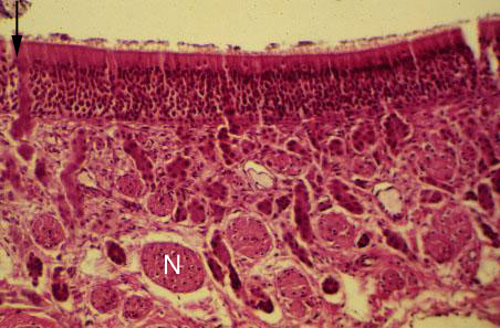
IX-8 Olfactory Epithelium (H&E). Observe nerve bundles (N), Bowman's glands and ducts (arrow), and the epithelium.